Computer-Tomographie (CT)

Bilder mit Tiefgang – klar und präzise.
Das CT Gerät der Ordination. Eine medizinische Fachkraft betreut einen Patienten.

Was ist eine Computertomographie (CT)
Die Computertomographie ist ein modernes bildgebendes und absolut schmerzfreies Schnittbildverfahren, bei dem mithilfe von Röntgenstrahlen unterschiedliche Körperregionen dargestellt werden.

Unser hochmodernes Gerät (Aquillion Prime SP) weist neben einer sehr hohen Bildqualität auch eine stark verminderte Strahlenbelastung auf. 

CT-Untersuchungen sind für alle Kassen und privat möglich:

ÖGK, BVAEB, KFA: keine chefärztliche Bewilligungspflicht
SV-S, SV-LW: Chefärztliche Bewilligungspflicht
Privat: Bei fehlendem gesetzlichem Versicherungsanspruch bieten wir alle Untersuchungen auch privat an.

Vorbereitungen, bevor Sie in die 
Ordination kommen:

Bitte beachten Sie, dass CT-Untersuchungen an unserem zweiten Standort in der Bahngasse 13 durchgeführt werden.

Für CT-Untersuchungen ist eine Terminvereinbarung unbedingt erforderlich. Wir haben Verträge mit allen Krankenkassen. Für die Verrechnung benötigen Sie eine ärztliche Überweisung, sowie die e-card mit gültigem Versicherungsanspruch.

Bei bestimmten Untersuchungen – etwa im Bauch- oder Beckenbereich – ist es notwendig, unmittelbar vor der Untersuchung Wasser zu trinken. Dieses erhalten Sie direkt vor Ort, etwa zwanzig Minuten vor Beginn der Untersuchung.

Bitte informieren Sie das Team des Diagnose Zentrum Baden, wenn Sie bekannte Unverträglichkeiten gegenüber Kontrastmitteln haben oder bereits eine allergische Reaktion erlebt haben. Ebenso informieren Sie uns bitte über eine mögliche Schwangerschaft.

Der schriftliche Befund liegt spätestens am zweiten Werktag ab 14 Uhr bereit. Mit der Online-Befundabfrage erhalten Sie ihn meist früher. Auf Wunsch senden wir ihn auch per Post zu.

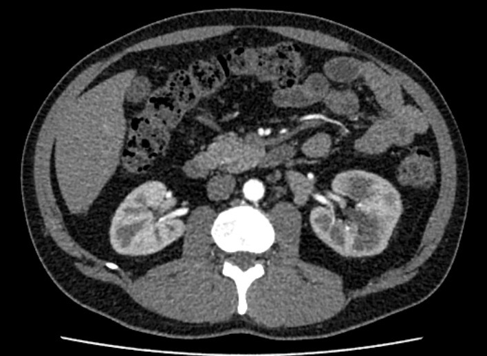
Computertomographie axiales Schnittbild der Nieren

Oft gestellte Fragen
zu dieser Untersuchung.

Ist die Untersuchung schmerzhaft?

Nein, die CT ist vollkommen schmerzfrei.

Während der Untersuchung liegen Sie ruhig auf der Untersuchungsliege. Je nach Körperregion kann eine kurze Atemanweisung erforderlich sein. In manchen Fällen wird ein Kontrastmittel verwendet, das über die Vene verabreicht wird und kurzzeitig ein warmes Gefühl auslösen kann.

Die Untersuchung dauert meist nur wenige Minuten.

Die exakte Dauer ist untersuchungsabhängig und teilweise auch davon abhängig, ob eine Vorbereitung oder die Gabe von Kontrastmittel erforderlich ist.

Bitte informieren Sie uns vor der Untersuchung über bekannte Unverträglichkeiten.

Wenn bei Ihnen bereits allergische Reaktionen auf Kontrastmittel aufgetreten sind, teilen Sie dies bitte bei der Terminvereinbarung oder spätestens vor der Untersuchung mit.

DOWNLOADS

Durchschnittliche Wartezeiten für CT Untersuchungen*
16 Tage

* Bitte beachten Sie, dass die Wartezeiten je nach Art der Untersuchung stark schwanken. Für eine genaue Information kontaktieren Sie uns daher bitte persönlich oder nutzen Sie die Online-Terminvereinbarung.

Stand April 2026

Schneller zur Untersuchung, mit ausgefüllten Fragebögen.

Sie können die jeweilgen Fragebögen zu Ihrer Untersuchung schon vorab herunterladen und ausgefüllt zu Ihrem Termin mitbringen.